Raio X de Tórax Padrão OIT em Goiânia
Diagnóstico e monitoramento de pneumoconioses — radiologistas certificados OIT — referência desde 1995 Desde março de 1995, a CLIMT realiza o Raio X de Tórax Padrão OIT em Goiânia, referência no diagnóstico e acompanhamento de pneumoconioses e doenças pulmonares ocupacionais conforme os protocolos da Organização Internacional do Trabalho (OIT). Atendemos empresas e trabalhadores de setores expostos a poeiras minerais, sílica, amianto, carvão e outros agentes inalatórios, com laudos radiológicos padronizados, precisos e reconhecidos por órgãos públicos e fiscalizadores.
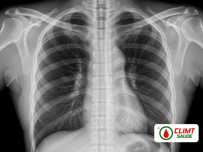
O exame segue rigorosamente os critérios técnicos estabelecidos pela Organização Internacional do Trabalho para diagnóstico padronizado de pneumoconioses.
O trabalhador é registrado com vínculo empregatício, função e tempo de exposição — dados essenciais para correlação entre achados radiológicos e histórico ocupacional.
Realizado em aparelhos digitais com parâmetros OIT, garantindo nitidez, contraste e controle de dose de radiação. Equipamentos com acreditação ANVISA e calibração periódica.
Análise das radiografias segundo as categorias da OIT, avaliando pequenas opacidades (profusão, tamanho, forma), grandes opacidades e alterações pleurais. Interpretação exclusivamente por radiologistas certificados no sistema OIT.
Laudo técnico detalhado com classificação internacional e parecer conclusivo sobre compatibilidade com pneumoconiose, com assinatura médica e validade legal para PCMSO, ASO e LTCAT.
Resultado entregue em formato digital e físico em até 48 horas úteis. Manutenção de histórico radiográfico contínuo por trabalhador, permitindo comparação longitudinal ao longo dos anos — essencial para diagnósticos precoces e perícias trabalhistas.
O Raio X de Tórax Padrão OIT é exigido pela NR-07 (PCMSO) e Portaria 1.809/2018 para atividades com riscos de inalação de partículas sólidas, poeiras minerais e agentes fibrogênicos. O padrão OIT utiliza o sistema internacional de classificação de radiografias de pneumoconioses, que permite comparar imagens de diferentes épocas e identificar progressão ou estabilização de lesões pulmonares — sendo o único método aceito por órgãos reguladores para classificação de pneumoconioses em processos trabalhistas e perícias. A série evolutiva (comparação longitudinal de exames) é fundamental para detecção precoce, prevenção de agravamento e fundamentação de nexo causal em ações trabalhistas.
Empresas que realizam o Raio X OIT conforme protocolo obtêm:
Obrigatório para trabalhadores expostos a poeiras minerais, sílica, amianto, carvão e agentes inalatórios
Em Goiânia, a CLIMT realiza o Raio X de Tórax Padrão OIT com equipamentos digitais de última geração e radiologistas certificados pela OIT. Mantemos protocolos internos de qualidade, calibração periódica dos equipamentos e revisão técnica dos laudos, assegurando resultados consistentes e reconhecidos em auditorias trabalhistas, perícias e fiscalizações. Arquivo digital seguro por longo prazo com histórico radiográfico por trabalhador.
Todos os exames são interpretados por radiologistas habilitados no padrão OIT — não por radiologistas generalistas sem treinamento específico em pneumoconioses. Mantemos histórico radiográfico contínuo e seguro por trabalhador, permitindo análise comparativa longitudinal essencial para monitoramento e perícias. Laudos emitidos dentro de 48 horas úteis com suporte técnico permanente para esclarecimentos com médicos do trabalho e coordenadores de PCMSO.
Preencha o formulário e nossa equipe entrará em contato para montar um plano compatível com sua necessidade técnica e financeira.
Atendimento de Seg a Sex, das 07:30 às 17:00
Raio X de Tórax Padrão OIT em Goiânia
